中文名稱(chēng):兔抗ADM多克隆抗體
|
Background: |
Adrenomedullin, a hypotensive peptide found in human pheochromocytoma, consists of 52 amino acids, has 1 intramolecular disulfide bond, and shows a slight homology with the calcitonin gene-related peptide. It may function as a hormone in circulation control because it is found in blood in a considerable concentration. The precursor, called preproadrenomedullin, is 185 amino acids long. By RNA-blot analysis, human adrenomedullin mRNA was found to be highly expressed in several tissues. Genomic ADM DNA consists of 4 exons and 3 introns, with the 5-prime flanking region containing TATA, CAAT, and GC boxes. There are also multiple binding sites for activator protein-2 and a cAMP-regulated enhancer element. |
|
Applications: |
ELISA, IHC |
|
Name of antibody: |
ADM |
|
Immunogen: |
Synthetic peptide of human ADM |
|
Full name: |
adrenomedullin |
|
Synonyms: |
AM |
|
SwissProt: |
P35318 |
|
ELISA Recommended dilution: |
2000-5000 |
|
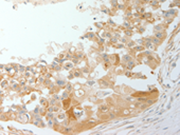
IHC positive control: |
Human breast cancer and Human cervical cancer |
|
IHC Recommend dilution: |
25-100 |
購(gòu)物車(chē)
幫助
021-54845833/15800441009
