中文名稱(chēng): 兔抗ETV4多克隆抗體
|
Background: |
Transcriptional activator that binds to the enhancer of the adenovirus E1A gene; the core-binding sequence is 5'[AC]GGA[AT]GT-3'. |
|
Applications: |
ELISA, IHC |
|
Name of antibody: |
ETV4 |
|
Immunogen: |
Synthetic peptide of human ETV4 |
|
Full name: |
ETS variant 4 |
|
Synonyms: |
E1AF; PEA3; E1A-F; PEAS3 |
|
SwissProt: |
P43268 |
|
ELISA Recommended dilution: |
5000-10000 |
|
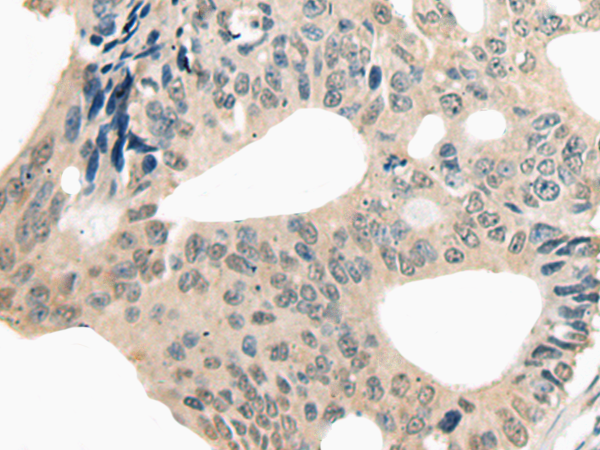
IHC positive control: |
Human colorectal cancer |
|
IHC Recommend dilution: |
20-100 |
購(gòu)物車(chē)
幫助
021-54845833/15800441009
