|
Background: |
This gene encodes a tyrosine kinase that binds Cdc42Hs in its GTP-bound form and inhibits both the intrinsic and GTPase-activating protein (GAP)-stimulated GTPase activity of Cdc42Hs. This binding is mediated by a unique sequence of 47 amino acids C-terminal to an SH3 domain. The protein may be involved in a regulatory mechanism that sustains the GTP-bound active form of Cdc42Hs and which is directly linked to a tyrosine phosphorylation signal transduction pathway. Several alternatively spliced transcript variants have been identified from this gene, but the full-length nature of only two transcript variants has been determined. |
|
Applications: |
WB, IHC, IF |
|
Name of antibody: |
TNK2(Phospho-Tyr284) |
|
Immunogen: |
Peptide sequence around phosphorylation site of tyrosine 284 (D-H-Y(p)-V-M) derived from Human ACK1. |
|
Full name: |
tyrosine kinase, non-receptor, 2 |
|
Synonyms: |
ACK; ACK1; ACK-1; p21cdc42Hs |
|
SwissProt: |
Q07912 |
|
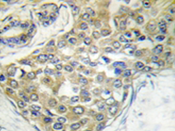
IHC positive control: |
Human breast carcinoma tissue |
|
IHC Recommend dilution: |
50-100 |
|
WB Predicted band size: |
115 kDa |
|
WB Positive control: |
HepG2 cells lysates treated with EGF |
|
WB Recommended dilution: |
500-1000 |
|
IF positive control: |
A549 cells |
|
IF Recommend dilution: |
100-200 |


購(gòu)物車
幫助
021-54845833/15800441009
