中文名稱:兔抗ARPC4多克隆抗體
|
Background: |
This gene encodes one of seven subunits of the human Arp2/3 protein complex. This complex controls actin polymerization in cells and has been conserved throughout eukaryotic evolution. This gene encodes the p20 subunit, which is necessary for actin nucleation and high-affinity binding to F-actin. Alternative splicing results in multiple transcript variants. Naturally occurring read-through transcription exists between this gene and the downstream tubulin tyrosine ligase-like family, member 3 (TTLL3), which results in the production of a fusion protein. |
|
Applications: |
ELISA, WB, IHC |
|
Name of antibody: |
ARPC4 |
|
Immunogen: |
Synthetic peptide of human ARPC4 |
|
Full name: |
actin related protein 2/3 complex, subunit 4, 20kDa |
|
Synonyms: |
ARC20; P20-ARC |
|
SwissProt: |
P59998 |
|
ELISA Recommended dilution: |
5000-10000 |
|
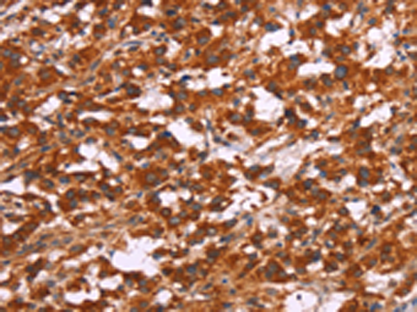
IHC positive control: |
Human thyroid cancer and human gastric cancer |
|
IHC Recommend dilution: |
25-100 |
|
WB Predicted band size: |
20 kDa |
|
WB Positive control: |
Mouse brain tissue |
|
WB Recommended dilution: |
200-1000 |
購物車
幫助
021-54845833/15800441009
