中文名稱: 兔抗ASPSCR1多克隆抗體
|
Background: |
The protein encoded by this gene contains a UBX domain and interacts with glucose transporter type 4 (GLUT4). This protein is a tether, which sequesters the GLUT4 in intracellular vesicles in muscle and fat cells in the absence of insulin, and redistributes the GLUT4 to the plasma membrane within minutes of insulin stimulation. Translocation t(X;17)(p11;q25) of this gene with transcription factor TFE3 gene results in a ASPSCR1-TFE3 fusion protein in alveolar soft part sarcoma and in renal cell carcinomas. Multiple alternatively spliced transcript variants have been found. |
|
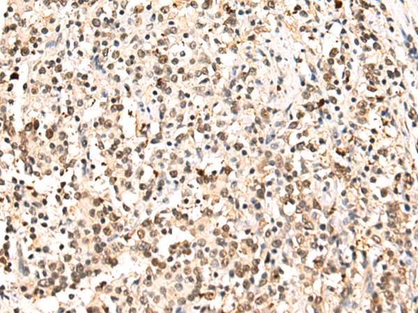
Applications: |
ELISA, IHC |
|
Name of antibody: |
ASPSCR1 |
|
Immunogen: |
Fusion protein of human ASPSCR1 |
|
Full name: |
ASPSCR1 tether for SLC2A4, UBX domain containing |
|
Synonyms: |
TUG; ASPL; ASPS; RCC17; UBXD9; UBXN9; ASPCR1 |
|
SwissProt: |
Q9BZE9 |
|
ELISA Recommended dilution: |
5000-10000 |
|
IHC positive control: |
Human gastric cancer |
|
IHC Recommend dilution: |
50-100 |
購物車
幫助
021-54845833/15800441009
