中文名稱:兔抗ATP5PO多克隆抗體
|
Background: |
The protein encoded by this gene is a component of the F-type ATPase found in the mitochondrial matrix. F-type ATPases are composed of a catalytic core and a membrane proton channel. The encoded protein appears to be part of the connector linking these two components and may be involved in transmission of conformational changes or proton conductance. [provided by RefSeq, Jul 2008] |
|
Applications: |
ELISA, WB, IHC |
|
Name of antibody: |
ATP5PO |
|
Immunogen: |
Fusion protein of human ATP5PO |
|
Full name: |
ATP synthase peripheral stalk subunit OSCP |
|
Synonyms: |
ATPO; OSCP; ATP5O; HMC08D05 |
|
SwissProt: |
P48047 |
|
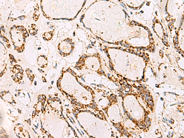
IHC positive control: |
Human thyroid cancer |
|
IHC Recommend dilution: |
100-300 |
|
WB Predicted band size: |
23 kDa |
|
WB Positive control: |
SKOV3, Hela cell, Mouse liver tissue, Mouse heart tissue, Human placenta tissue, HepG2 cell, Human heart tissue lysates |
|
WB Recommended dilution: |
1000-5000 |


購(gòu)物車
幫助
021-54845833/15800441009
