中文名稱:兔抗AURKA多克隆抗體
|
Background: |
The protein encoded by this gene is a cell cycle-regulated kinase that appears to be involved in microtubule formation and/or stabilization at the spindle pole during chromosome segregation. The encoded protein is found at the centrosome in interphase cells and at the spindle poles in mitosis. This gene may play a role in tumor development and progression. A processed pseudogene of this gene has been found on chromosome 1, and an unprocessed pseudogene has been found on chromosome 10. Multiple transcript variants encoding the same protein have been found for this gene. |
|
Applications: |
ELISA, IHC |
|
Name of antibody: |
AURKA |
|
Immunogen: |
Synthetic peptide of human AURKA |
|
Full name: |
aurora kinase A |
|
Synonyms: |
AIK; ARK1; AURA; BTAK; STK6; STK7; STK15; PPP1R47 |
|
SwissProt: |
O14965 |
|
ELISA Recommended dilution: |
5000-10000 |
|
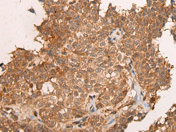
IHC positive control: |
Human thyroid cancer and human ovarian cancer |
|
IHC Recommend dilution: |
25-100 |
購物車
幫助
021-54845833/15800441009
