中文名稱:兔抗XRCC4多克隆抗體
|
Background: |
The protein encoded by this gene functions together with DNA ligase IV and the DNA-dependent protein kinase in the repair of DNA double-strand breaks. This protein plays a role in both non-homologous end joining and the completion of V(D)J recombination. Mutations in this gene can cause short stature, microcephaly, and endocrine dysfunction (SSMED). Alternative splicing generates several transcript variants. |
|
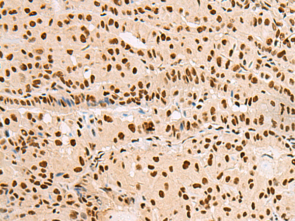
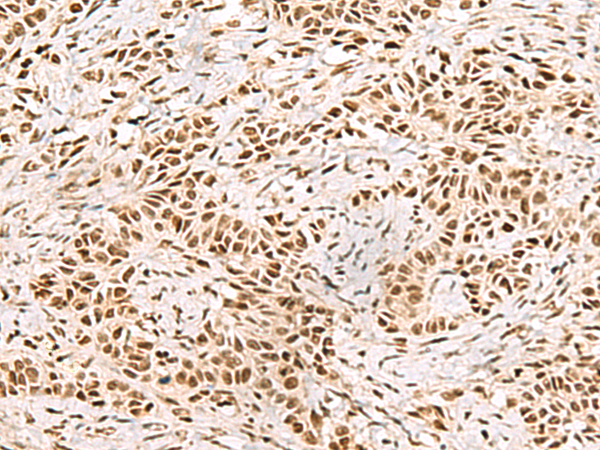
Applications: |
ELISA, IHC |
|
Name of antibody: |
XRCC4 |
|
Immunogen: |
Fusion protein of human XRCC4 |
|
Full name: |
X-ray repair cross complementing 4 |
|
Synonyms: |
SSMED |
|
SwissProt: |
Q13426 |
|
ELISA Recommended dilution: |
5000-10000 |
|
IHC positive control: |
Human thyroid cancer and Human ovarian cancer |
|
IHC Recommend dilution: |
50-200 |

購物車
幫助
021-54845833/15800441009
