中文名稱(chēng):兔抗ZBED1多克隆抗體
|
Background: |
This gene is located in the pseudoautosomal region 1 (PAR1) of X and Y chromosomes. It was earlier identified as a gene with similarity to Ac transposable elements, however, was found not to have transposase activity. Later studies show that this gene product is localized in the nucleus and functions as a transcription factor. It binds to DNA elements found in the promoter regions of several genes related to cell proliferation, such as histone H1, hence may have a role in regulating genes related to cell proliferation. Alternatively spliced transcript variants with different 5' untranslated region have been found for this gene. |
|
Applications: |
ELISA, IHC |
|
Name of antibody: |
ZBED1 |
|
Immunogen: |
Fusion protein of human ZBED1 |
|
Full name: |
zinc finger BED-type containing 1 |
|
Synonyms: |
ALTE; DREF; TRAMP; hDREF |
|
SwissProt: |
O96006 |
|
ELISA Recommended dilution: |
2000-5000 |
|
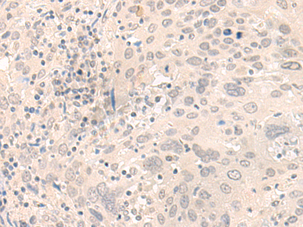
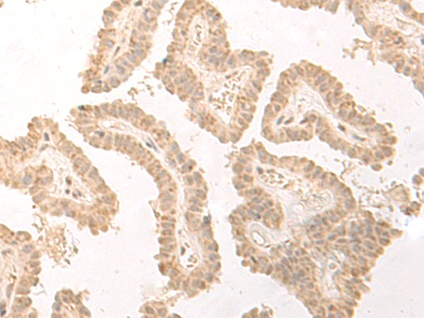
IHC positive control: |
Human esophagus cancer |
|
IHC Recommend dilution: |
30-150 |


購(gòu)物車(chē)
幫助
021-54845833/15800441009
