中文名稱:兔抗ZNF143多克隆抗體
|
Background: |
ZNF143 (zinc finger protein 143), also known as SBF, STAF or pHZ-1, is a 626 amino acid protein that contains seven C2H2-type zinc fingers and belongs to the GLI (glioma-associated oncogene) C2H2-type zinc-finger family. Localized to the nucleus and expressed ubiquitously with highest expression in ovaries, ZNF143 functions as a transcriptional activator that, via its C2H2-type zinc domains, binds to the SPH motif found in the promotors of small nuclear RNAs (snRNA). Through its ability to bind the promotors of various snRNA genes, ZNF143 controls the subsequent expression of the corresponding protein products. ZNF143 expression is induced upon DNA damage, suggesting an important role for ZNF143 in DNA repair events. |
|
Applications: |
ELISA, IHC |
|
Name of antibody: |
ZNF143 |
|
Immunogen: |
Synthetic peptide of human ZNF143 |
|
Full name: |
zinc finger protein 143 |
|
Synonyms: |
SBF; STAF; pHZ-1 |
|
SwissProt: |
P52747 |
|
ELISA Recommended dilution: |
5000-10000 |
|
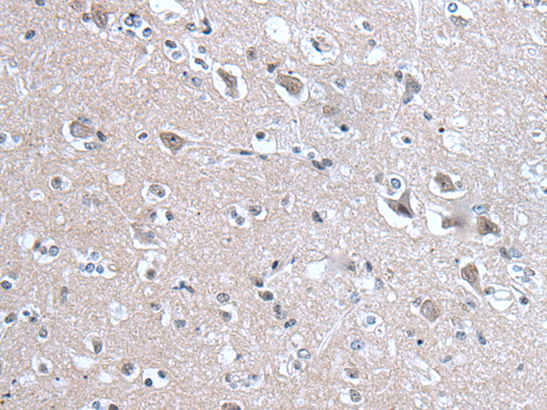
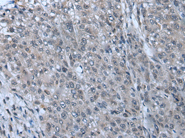
IHC positive control: |
Human colorectal cancer |
|
IHC Recommend dilution: |
10-50 |

購(gòu)物車
幫助
021-54845833/15800441009
